Zahnimplantate - echte Allrounder
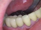
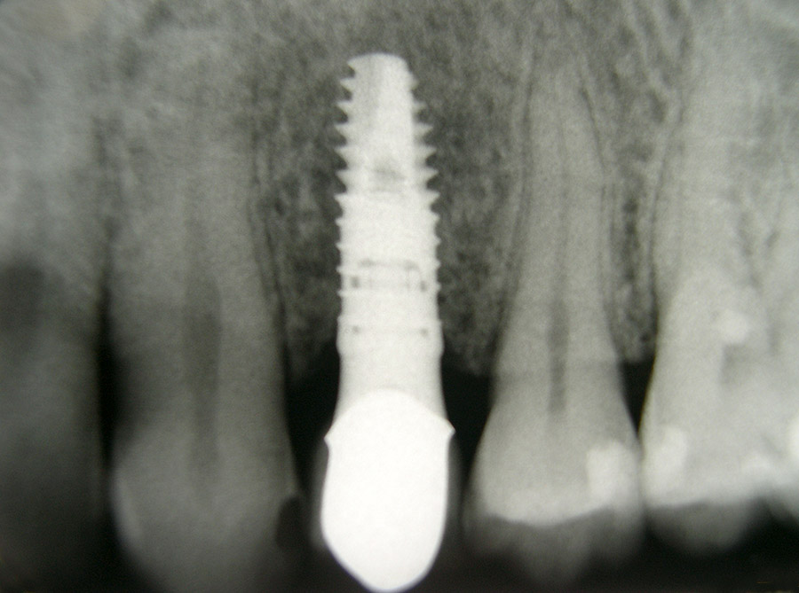
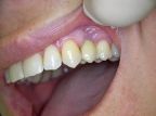
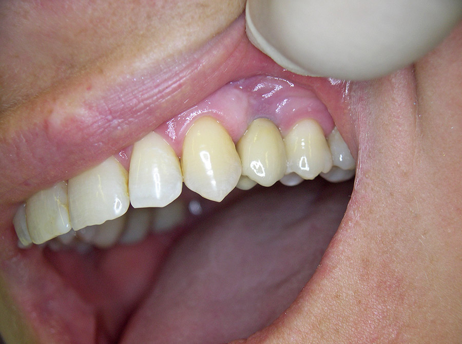
Zahnimplantate bieten heute eine bewährte und zuverlässige Möglichkeit, verloren gegangene Zähne zu ersetzen. Sie übernehmen die Aufgabe der natürlichen Zahnwurzel und tragen so einzelne oder auch mehrere fehlende Zähne.
Biologische und ästhetische Vorteile
Ein besonderer positiver Effekt der Implantate ist, dass sie den Kieferknochen und das Zahnfleisch erhalten, während sich der Knochen unter Brücken und Prothesen hingegen abbaut. In vielen Fällen lässt sich so die natürliche Rot-Weiß-Ästhetik, also das harmonische Zusammenspiel von Zahnfleisch und Zähnen erhalten, so dass implantat-getragene Kronen kaum von eigenen gesunden Zähnen zu unterscheiden sind.
Behandlungsoptionen
Der Einsatz moderner Zahnimplantate erweitert unser Behandlungsspektrum in verschiedener Hinsicht:
So können Lücken geschlossen werden, ohne dass gesunde Nachbarzähne beschliffen werden müssen und unnötig Zahnsubstanz abgetragen wird (Brückenversorgung).
Aber auch Prothesenträger profitieren von Implantaten, da durch diese herausnehmbarer Zahnersatz sicherer zu verankern ist, was die Lebensqualität bedeutend steigert.
Vor allem älteren Patienten, die alle eigenen Zähne verloren haben und mit ihren Vollprothesen nur schwer zu recht kommen, kann durch Implantate geholfen werden. Oft genügt hier schon der wenig belastende, minimal invasive Einsatz sog. Mini-Implantate.
