Wurzelkanalbehandlung
Hart und doch so verletzlich…
Jeder Zahn besitzt außen einen sehr harten Schutzmantel aus mineralischem Zahnschmelz, unter dem eine weichere, eher knochenähnliche Substanz folgt, das sog. Dentin.
Im Inneren jedes Zahnes befindet sich ein kanalförmiger Hohlraum, in dem der Nerv und die versorgenden Blutgefäße verlaufen.
Bei einer Zerstörung der harten Außenschale, z.B. durch eine traumatische Zahnverletzung (Sturz, Schlag, etc.) oder durch eine tiefe Karies kann der Nerv im Inneren verletzt und bakteriell entzündet werden.
(Wie) kann man den Zahn retten?
Ist der Nerv im Inneren eines Zahnes erkrankt, muss er im Rahmen einer Wurzelkanal-behandlung schnellstmöglich entfernt werden.
Sonst kann es durch fortschreitende bakterielle Zersetzungsprozesse zu einer Entzündung an der Wurzelspitze des Zahnes kommen, die sich in den Knochen ausbreitet.
Was passiert dabei?
Bei einer Wurzelkanalbehandlung wird (meist unter Anästhesie) das erkrankte Nervgewebe entfernt, der Wurzelkanal mit desinfizierenden Lösungen gespült, schrittweise im Durchmesser aufbereitet, mit antibakteriellen Einlagen bis zur Schmerzfreiheit versorgt und schließlich bakteriendicht abgefüllt. Dies kann mehrere Behandlungssitzungen erfordern.
Anschaulich erklärt wird dieser Vorgang in folgendem Video von Komet Dental:
Animationsfilm Wurzelkanalbehandlung
Für den Langzeiterfolg
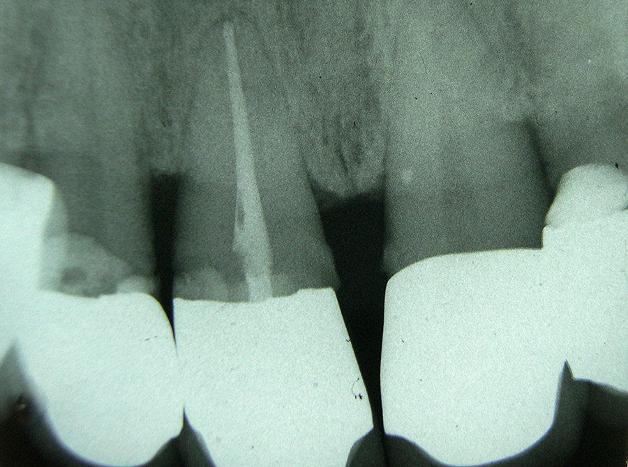
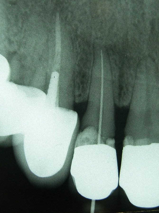
Entscheidend für den Langzeiterfolg einer Wurzelkanalbehandlung ist die exakte Füllung des gesamten Wurzelkanals bis zur Wurzelspitze. Daher verlassen wir uns hier nicht nur auf Röntgenbilder, sondern messen mit modernen Zusatzgeräten elektronisch die Länge jedes Wurzelkanals .Die Aufbereitung der Kanäle erfolgt teils von Hand, teils maschinell mit speziell dafür entwickelten, drehmomentbegrenzten Motoren und hochflexiblen Einmal-Feilen. Vor der endgültigen Wurzelfüllung wird bei uns jeder Wurzelkanal laser-sterilisiert, d.h. evtl. noch vorhandene Bakterien werden durch Zufuhr hochenergetischen Laserlichts über flexible Glasfasern abgetötet.
